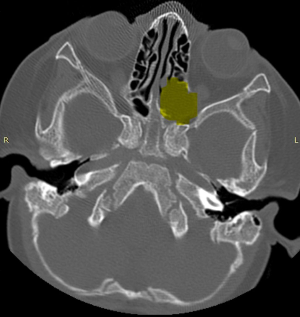
ENDOSCOPIC TRANSNASAL ABLATION OF A LARGE FRONTO-ETHMOIDAL SARCOMA Rezumat: Sarcomul sinonazal bifenotipic este o tumoră rară (149 de cazuri descrise până în prezent în literatura de specialitate)1, ia naștere din mucoasa tractului respirator superior și se caracterizează printr-un comportament biologic agresiv și o tendință accentuată de invazie a bazei craniului și a orbitei. Conform […]
ABLAȚIE ENDOSCOPICĂ TRANSNAZALĂ A UNUI SARCOM FRONTO-ETMOIDAL VOLUMINOS
