ENDOSCOPIC TRANSNASAL ABLATION OF A LARGE FRONTO-ETHMOIDAL SARCOMA
Rezumat:
Sarcomul sinonazal bifenotipic este o tumoră rară (149 de cazuri descrise până în prezent în literatura de specialitate)1, ia naștere din mucoasa tractului respirator superior și se caracterizează printr-un comportament biologic agresiv și o tendință accentuată de invazie a bazei craniului și a orbitei. Conform cunoștințelor actuale, chirurgia reprezintă gold-standardul pentru tratament5. Rolul terapiilor adjuvante rămâne încă neclar.
Particularitatea cazului prezentat: tumora avea punctul de inserție în sinusul frontal drept și, de la acest nivel, a invadat ambele sinusuri etmoidale prin distrugerea parțială a peretelui intersinusal frontal și dislocarea structurilor din canalul nazofrontal bilateral.
Deși ne confruntam cu o tumoră voluminoasă și intens vascularizată, cu indicație clară de chirurgie externă (cel puțin prin abord prin linia sprâncenoasă), embolizarea preoperatorie eficientă și utilizarea instrumentarului endoscopic angulat, sub controlul opticilor de 70° și 90°, au făcut posibilă o ablație macroscopic completă printr-un abord exclusiv endoscopic transnazal de tip Draf III (procedura Lothrop modificată).
Sunt necesare studii suplimentare, care să includă serii chirurgicale extinse și urmărire pe termen lung, pentru a putea defini factorii de prognostic și a stabili ghiduri terapeutice clare pentru această entitate patologică particulară rară.
Cuvinte cheie: sarcom sinonazal bifenotipic; abord endoscopic endonazal; Draf III.
Abstract:
Biphenotypic sinonasal sarcoma is a rare tumor (149 cases described so far in the literature)1 that arises from the mucosa of the upper respiratory tract and is characterized by aggressive biological behavior and a marked tendency to invade the skull base and the orbit. According to current knowledge, surgery represents the gold standard for treatment5. The role of adjuvant therapies remains unclear.
The particularity of the presented case: The tumor had its insertion point in the right frontal sinus, and from this level, it invaded both ethmoidal sinuses through partial destruction of the frontal intersinusal wall and dislocation of the structures in the bilateral nasofrontal canal.
Although we were dealing with a large and highly vascularized tumor, with a clear indication for external surgery (at least through the supraorbital approach), efficient preoperative embolization and the use of angled endoscopic instruments, under the control of 70° and 90° endoscopes, made it possible to achieve a grossly complete ablation through an exclusive endoscopic transnasal approach of the Draf III type (modified Lothrop procedure).
Further studies are needed, including large surgical series and long-term follow-up, to define prognostic factors and establish clear therapeutic guidelines for this rare and peculiar pathological entity.
Keywords: biphenotypic sinonasal sarcoma; endoscopic endonasal approach; Draf III
Sarcomul sinonazal bifenotipic (SSB) este o tumoră rară, descrisă pentru prima dată în 20122 și recunoscută oficial în clasificarea OMS a tumorilor capului și gâtului începând cu ediția a 4-a din 20174. Până în prezent, literatura medicală a documentat aproximativ 150 de cazuri la nivel mondial1.
Un studiu european multicentric publicat în 2022 a analizat 15 pacienți tratați în șase centre de referință și a revizuit 122 de cazuri din literatura de specialitate, concluzionând că SSB este o tumoră local agresivă, dar cu prognostic favorabil dacă este tratată corespunzător3.
În 2024, o revizuire sistematică a identificat 34 de studii care au raportat un total de 149 de cazuri de SSB1.
În lucrarea de față vom prezenta cazul unui pacient în vârstă de 42 de ani, care se prezintă la spital pentru ablația unei formațiuni tumorale voluminoase fronto-etmoido-nazale. Tabloul clinic cuprinde: exoftalmie dreaptă, obstrucție nazală progresivă persistentă, predominant dreaptă, respirație orală, rinoree mucopurulentă cu drenaj anteroposterior și episoade recurente de epistaxis. Se internează în vederea investigațiilor și tratamentului de specialitate.
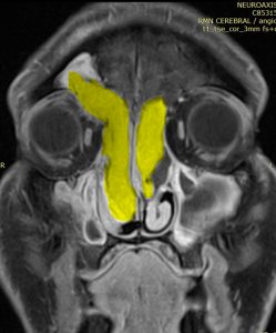
Examenul IRM cerebral cu substanță de contrast (dr. Emilia Diaconu) evidențiază o formațiune tumorală hipervascularizată cu origine în sinusul frontal stâng, cu extensie în sinusul frontal drept, etmoid bilateral și în ambele fose nazale. Are raporturil cu tavanul orbitei drepte/mușchiul oblic superior drept, lama papiracee, canalul arterei etmoidale anterioare drepte tavanul etmoidal/foveea etmoidală, lama cribriformă/fosele olfactive/bulbi olfactivi, perforează septul nazal anterosuperior, distruge cornetele nazale mijlocii, deviază infero-lateral și comprima cornetul inferior drept, cu obstrucția porului extern al canalului lacrimonazal și dilatația sacului lacrimal drept. Are aferențe arteriale din artera angulară, artera infraorbitală și artera sfenopalatina, mai evidente/cu calibru mai mare de partea dreaptă. Fina încărcare cu contrast a durei mater frontal, liniar, uniform, net conturat, mai extins de partea dreaptă, fără anomalie de semnal în parenchimul adiacent – sugerează, mai degrabă, aspect inflamator/reactiv (fig. 1,2)

Fig. 1,2: aspect RMN cu sc. – origine tumorala in sinusul frontal drept, invazie rino-etmoidala bilaterala
Având în vedere gradul ridicat de vascularizație a formațiunii tumorale, se hotărăște necesitatea embolizării acesteia preoperator. Se efectuează embolizarea cu microcateter a formațiunii – ambele artere maxilare interne și artera angulară dreaptă, 20% din artera oftalmică dreaptă și 5% din artera oftalmică stângă (dr. Dima Ștefăniță), urmată de transferul pacientului cu ambulanța în clinica noastră.
La 24h postembolizare se intervine chirurgical cu AG-IOT, sub control endoscopic transnazal.
Inspecția endoscopică intraoperatorie a foselor nazale pune în evidență: laterodevierea stângă a septului nazal, ce împiedică abordul endoscopic al formațiunii tumorale, formațiune tumorală voluminoasă la nivelul ambelor fose nazale, contingentul principal pe partea dreaptă, de culoare roșie violacee, consistență mixtă, sângerândă la palpare, invadează și distruge cornetul nazal mijlociu și superior drept, cornetul nazal superior stâng și parțial cornetul nazal mijlociu stâng și exercită efect de masă asupra celorlalte structuri de vecinătate; secreții mucopurulente abundente și cruste melicerice de însoțire.
Se decide și se practică septoplastie prin rezecția submucoasă a septului nazal cartilaginos și osos deviat, în vederea facilitării abordului endoscopic a formațiunii tumorale. Se realizează debulking tumoral la nivelul ambelor fose nazale prin coblație și cu ajutorul microdebriderului și al instrumentarului endoscopic, cu ablația concomitentă a cornetului nazal mijlociu și superior pe dreapta și parțial a cornetelor nazale mijlociu și superior stângi infiltrate tumoral, cu trimiterea fragmentelor ablate la laboratorul de anatomie patologică – examen HP și IHC. Se realizează ablația contingentului tumoral de la nivelul sinusului etmoidal bilateral (distrucție tumorală a septurilor osoase etmoidale), urmată de ablația porțiunii postero-superioare a septului nazal, a planșeului sinusului frontal bilateral și a septului intersinusal frontal, abord de tip DRAF III, cu expunerea largă a cavităților sinusale frontale și ablația completă macroscopică a contingentului tumoral de la acest nivel sub controlul opticii la 70 și 90 de grade. Deși formațiunea tumorală determină subțierea structurilor osoase adiacente prin compresie, se evidențiază integritatea pereților osoși ai sinusurilor frontale, a cristei galli, a laminei papiracee și a tavanului orbitar, față de care tumora prezintă plan clar de clivaj. Se constată originea aparentă a formațiunii tumorale la nivelul peretelui postero-superior al sinusului frontal drept. Se trimite la laboratorul de anatomie patologică un fragment tumoral excizat de la acest nivel, ca și transa de siguranță.
Uncinectomie și antrostomie maxilară bilaterală, sub controlul opticilor la 70 și 90 de grade, cu aspirația secrețiilor, ablația degenerărilor edematoase ale mucoasei endosinusale bilaterale, și ablația unei formațiuni chistice cu conținut seros din sinusul maxilar stâng. Sfenoidotomie paraseptală bilaterală, cu lărgirea ostiumului sinusal natural și aspirația secrețiilor purulente intrasinusale (fig. 3, 4).

Fig. 3: Draf III: 1: Sinus frontal drept, 2: sinus frontal stang, 3: zona de insertie tumorala pe peretele postero-superior al sinusului frontal drept

Fig.4: aspect postoperator: 1: Antrostomie dreapta, 2: sfenoidotomie paraseptala dreapta, 3: etmoid drept, 4: rinofaringe
Hemostaza cu ajutorul electrocauterului monopolar maleabil cu aspirație a tuturor zonelor de rezecție, radiofrecvență fulgurație 9W. Lavaj cu soluție Axetine, Vancomicină și Fluconazol la nivelul ambelor fose nazale și al sinusurilor paranazale abordate. Hemostaza eficientă, nu este necesar tamponament nazal. Din sala de operație pacientul este transportat în compartimentul de radiologie unde se efectuează CT cerebral cu substanță de contrast, ce confirmă gradul complet macroscopic de rezecție tumorală (fig. 5,6).


Fig. 5,6: Imagini comparative CT in plan coronal preop/postop
Evoluție postoperatorie favorabilă, pacientul este externat la 48h postoperator.
Testele IHC și aspectul HP corelate cu datele anatomo-clinice (localizare, vârstă, extensie la nivelul suprastructurii) indică un sarcom sinonazal bifenotipic (cu diferențiere neurală și mioidă), grad histologic FNCLCC: G1 (scor de diferențiere tumorală 2, scor mitotic 1, necroză 0).
Observații relevante din IHC:
- AE1/AE3 negativ în celulele tumorale: exclude carcinomul
- S100 și actină pozitive: susțin linia bifenotipică (neurală + mioidă)
- Beta-catenina pozitivă zonal: apare frecvent în BSNS (implicare Wnt/β-catenina pathway)
- Ki67 10–15%: sugerează un grad de proliferare moderat, justificând o atitudine activă
- STAT6, SOX10, INI1 negative: exclud alte diagnostice diferențiale (ex. tumora glomică, MPNST, sarcom sinovial etc.)
Profilul imunohistochimic al tumorii este compatibil cu diagnosticul de sarcom sinonazal bifenotipic pentru ca are o expresie mixtă mioepitelială și neuroectodermală. Prezența S100 și actină pozitiv zonal, beta-catenina pozitivă și Ki67 între 10–15% este tipică pentru acest diagnostic.
Sarcom sinonazal bifenotipic este local invaziv, dar are potențial scăzut de metastazare. Excizia chirurgicală completă cu margini negative (R0) este gold-standardul, abordarea endoscopică endonazală poate fi utilizată cu succes dacă tumora nu invadează structuri esențiale5. Dacă tumora se extinde în orbite, baza craniului sau alte structuri adiacente, poate necesita abord craniofacial pe cale combinată.
Radioterapia adjuvantă poate fi luată în calcul dacă avem margini pozitive sau greu de apreciat, o tumoră de mari dimensiuni și cu invazie osoasă extensivă. S-a observat o scădere a riscului de recidivă locală cu radioterapie postoperatorie, deși dovezile sunt limitate din cauza rarității tumorii6.
Chimioterapia nu intră în tratamentul standard pentru acest caz deoarece tumora are proliferare relativ joasă (Ki67 10–15%) și nu există dovezi clare că chimioterapia aduce beneficii în cazurile fără metastaze. Chimioterapia se ia în considerare doar în tumorile nerezecabile, recidivante sau metastatice, sau în context de studii clinice.
Particularitatea cazului: tumora avea inserția în sinusul frontal drept și de la acest nivel a invadat ambele sinusuri etmoidale si ambele fose nazale, prin distrucția parțială a peretelui intersinusal frontal și dislocarea structurilor din canalul nazofrontal bilateral.
Deși aveam de manageriat o tumoră voluminoasă și bogat vascularizată, cu indicație de chirurgie externă cel puțin prin linia sprâncenoasă, embolizarea preoperatorie eficientă și utilizarea instrumentarului angulat de endoscopie, sub controlul opticilor de 70° și 90°, a făcut posibilă o ablație macroscopică completă printr-un abord exclusiv endoscopic transnazal de tip Draf III (procedura Lothrop modificată).
Bibliografie:
- Cervoni L, Iaccarino C, Chibbaro S, Cossu G, D’Avella E, Trungu S, Raffa G, d’Avella D.
Biphenotypic Sinonasal Sarcoma: Literature Review of a Peculiar Pathological Entity—The Neurosurgical Point of View.
Cancers (Basel). 2024;16(22):3747. doi:10.3390/cancers16223747.
- Lewis JT, Oliveira AM, Nascimento AG, et al.
Biphenotypic sinonasal sarcoma: a novel low-grade tumor characterized by dual neural and myogenic differentiation.
Am J Surg Pathol. 2012;36(3):317-325.
- Rooper LM, Bishop JA.
Biphenotypic Sinonasal Sarcoma: A Review and Update on Recent Developments.
Head and Neck Pathology. 2022;16(1):13-21.
- Stelow EB, French CA.
Biphenotypic Sinonasal Sarcoma: Update and Diagnostic Pitfalls.
Surg Pathol Clin. 2017;10(1):125-134.
- Thompson LDR, et al.
Sinonasal Biphenotypic Sarcoma. PathologyOutlines.com, 2023 update.
https://www.pathologyoutlines.com/topic/sinonasalsarcomabiphenotypic.html
- Wang X, Bui MM, et al.
Biphenotypic sinonasal sarcoma: A series of 8 cases and a review of the literature.
Ann Diagn Pathol. 2020;46:151497.