Left ethmoido‑orbital infantile fibrosarcoma in a 10‑month‑old child – case presentation and transnasal endoscopic management
Autori:
Autori: Dr. Bogdan MOCANU1, Dr. Cristina BICHIR1, Stud. Alexandru MOCANU2, Dr. Silviu OPRESCU1, Dr. Irina GHEORGHE1, Dr. Alina CIOCÂLTEU1,2
- Brain Institute – Spitalul Monza, Bucuresti
- UMF Carol Davila București
Rezumat
Fibrosarcomul infantil este o tumoră rară a țesuturilor moi, cu incidență redusă în regiunea craniofacială. Localizarea etmoido‑orbitală reprezintă o manifestare extrem de rară și ridică provocări diagnostice și terapeutice semnificative. Prezentăm cazul unui copil de 10 luni cu fibrosarcom etmoido‑orbital stâng, diagnostic confirmat imagistic și histopatologic. Intervenția chirurgicală endoscopică transnazală a permis ablația macroscopic completă a formațiunii tumorale, cu evoluție postoperatorie favorabilă pe termen scurt. Evaluarea imagistică ulterioară nu pune in evidență recidivă tumorală locală, dar este necesară o monitorizare riguroasă.
Cuvinte cheie: fibrosarcom infantil etmoido‑orbital, chirurgie endoscopică
Abstract
Infantile fibrosarcoma is a rare soft tissue tumor with low incidence in the craniofacial region. The ethmoido‑orbital location represents an extremely uncommon manifestation, posing significant diagnostic and therapeutic challenges. We present the case of a 10‑month‑old child with left ethmoido‑orbital fibrosarcoma, confirmed by imaging and histopathological examination. Endoscopic transnasal surgery allowed macroscopic complete ablation of the tumor mass, with a favorable short‑term postoperative outcome. Subsequent imaging evaluation did not reveal local tumor recurrence, but close follow‑up is required.
Keywords: ethmoido‑orbital infantile fibrosarcoma, endoscopic surgery
Introducere
Fibrosarcomul infantil este o entitate neoplazică rară a țesuturilor moi, reprezentând mai puțin de 1% din tumorile pediatrice ale regiunii cranio‑maxilofaciale4. Etiologia este necunoscută, dar este caracterizată prin proliferare celulară fibroasă, cu potențial invaziv local și recidivă ridicată. Manifestările clinice depind de localizare: în zona etmoido‑orbitală, acestea includ exoftalmie, diplopie, pareze craniene și deformări faciale progresive1.
Managementul terapeutic este multidisciplinar, incluzând excizie chirurgicală completă, chimioterapie și radioterapie conform protocolului oncologic pediatric3. Chirurgia endoscopică transnazală oferă un acces minim invaziv, reducând morbiditatea și asigurând excizie precisă.
Prezentarea cazului
Date clinice și anamneză
Copil de 10 luni, fără antecedente patologice semnificative, prezentat în serviciul ORL pentru evaluarea unei formațiuni tumorale etmoidale stângi, asociată cu exoftalmie progresivă și pareză parțială a nervului oculomotor stâng. Examenul oftalmologic a relevat hipermetropie și astigmatism la ochiul stâng.
Investigații imagistice
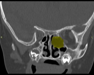
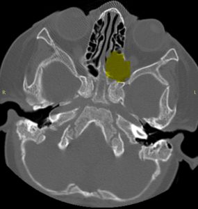
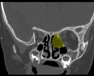
CT și RMN cranio‑faciale au evidențiat (Fig. 1):
- Formațiune tumorală etmoido‑orbitală stângă, cu extensie spre vârful orbitei;
- Distrucția prin compresie a peretelui medial orbital stâng, fără efracția periorbitei.
- Protruzia intraorbitară a formațiunii. Nu se pune in evidență extensie intracraniană

Figura 1: Secțiuni CT preoperatorii in plan axial si coronal, evidențiind tumora etmoido‑orbitală stângă.
Tratament chirurgical
Sub anestezie generală cu IOT, s-a efectuat etmoidectomie anterioară stângă endoscopic transnazal (optica de 2,7 mm, sangerare moderată intraoperator). Formațiunea tumorală fibroasă, moderat vascularizată, a fost îndepărtată prin tehnica piece‑meal cu microdebriderul. Hemostaza a fost eficientă, fără necesitatea tamponamentului nazal.
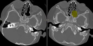
CT-ul efectuat imediat postoperator a confirmat ablația macroscopic completă (fig 2)



Figura 2: imagini CT comparative preop-postop la finalul interventiei chirurgicale
Diagnosticul histopatologic și imunohistochimic
Rezultate examen:
- MyoD1, Desmina, MUC4, CD34, SOX10 – negativi;
- SMA – pozitiv zonal;
- pan‑TRK – reacție pozitivă difuză.
Concluzie: Fibrosarcom infantil (cod ICD‑O: 8814/3).
Evaluare postoperatorie
Pacientul urmează tratament oncologic chimioterapic specific, radioeterapia nu este indicată în cazul copiilor foarte mici, deoarece poate afecta dezvoltarea facială și funcția oculară2.
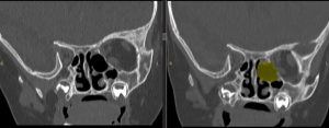
La 3 luni postoperator, RMN cerebro‑ventricular cu substanță de contrast nu pune in evidență recidivă tumorală locală.
Discuții
Fibrosarcomul infantil este o tumoră rară, cu comportament agresiv local și risc crescut de recidivă. Localizarea etmoido‑orbitală reprezintă o provocare din punct de vedere al diagnosticului diferențial și al abordului chirurgical la această vârstă.
Chirurgia endoscopică transnazală permite excizia precisă, cu morbiditate redusă și vizualizare directă a structurilor adiacente. Examenul histopatologic și imunohistochimic este esențial pentru confirmarea diagnosticului și diferențierea față de alte neoplazii fibroase și sarcoame pediatrice.
Monitorizarea imagistică postoperatorie este obligatorie pentru evaluarea recidivelor și adaptarea tratamentului oncologic ulterior, inclusiv chimioterapie adjuvantă.
Concluzii
Cazul prezentat evidențiază importanța diagnosticului precoce și a managementului chirurgical în fibrosarcomul infantil etmoido‑orbital. Chirurgia endoscopică transnazală reprezintă o strategie eficientă, cu recuperare rapidă și risc redus de complicații. Monitorizarea atentă pe termen lung este esențială datorită potențialului recidivei tumorale.
Bibliografie
- Coffin CM, Dehner LP, Fletcher CDM. Fibrosarcoma in infants and children. Semin Diagn Pathol. 1997;14(2):125–138.
- Rudzinski ER, Anderson JR. Pediatric fibrosarcomas: pathologic, clinical and therapeutic considerations. Curr Oncol Rep. 2017;19(10):65.
- Gawande RS, et al. Endoscopic management of sinonasal tumors in pediatric patients. Int J Pediatr Otorhinolaryngol. 2020;133:110007.
- Barnes L, et al. Pathology and genetics of head and neck tumors. WHO Classification of Tumours. IARC; 2017.