PREZENTARE DE CAZ
Dr. Bogdan MOCANU, Dr. Simona JERCĂLĂU, Dr. Silviu OPRESCU
Brain Institute, Spitalul Monza, București, August 2017
Vă descriem un caz foarte rar de estezioneuroblastom secretant de vasopresină, cu hiponatremie concomitentă. Lipsa unei colaborări interdisciplinare până la momentul prezentării a dus la o evoluţie îndelungată a bolii (5 ani) fără o conduită terapeutică adecvată. Particularitatea cazului constă în complexitatea pluridisciplinară, raritatea acestuia punând în dificultate corelarea hiponatremiei cu patologia tumorală precum şi imposibilitatea unui abord endoscopic exclusiv transnazal al unei tumori maligne extinse în sinusul frontal datorită potenţialului hemoragic şi a riscului de rezectie incompletă.
Pacienta S.E. în vârstă de 23 de ani, cunoscută cu SIADH (sindrom idiopatic caracterizat prin exces de vasopresină şi hiponatremie concomitentă), diagnosticat în 2012 într-un serviciu medical din Danemarca, cu suplimentare orală de sodiu (3cp/zi) şi restricţie hidrică până la un aport maxim de 700 ml pe zi, se prezintă pentru obstrucţie nazală cronică preponderent stânga, progresivă şi din ianuarie 2017 – episoade de epistaxis anterior stâng.
Examenul clinic şi endoscopic ORL, precum şi examenele imagistice complementare (CT/RMN) stabilesc diagnosticul de formaţiune tumorală etmoid antero-posterior stâng extinsă la sinusurile maxilar şi frontal stâng, cu încărcare intensă postcontrast, diametrul cranio-caudal de 35mm.
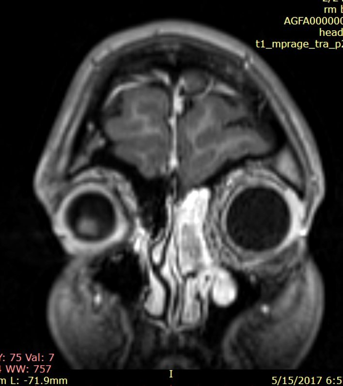
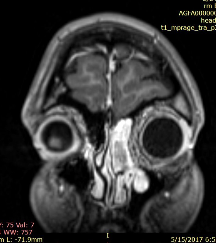
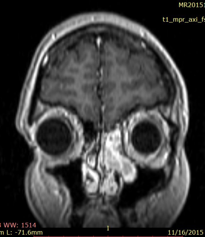
Pacienta efectuase încă din anul 2015 un examen RMN craniocerebral pentru explorarea lojei hipofizare în contextul SIADH, în care se putea vizualiza cu uşurinţă patologia tumorală rinosinusală, însă examenul ORL efectuat la acea dată a stabilit diagnosticul de polipoză nazală unilateral – fig. 1
Fig. 1: examen RMN craniocerebral cu substanță de contrast efectuat în anul 2015
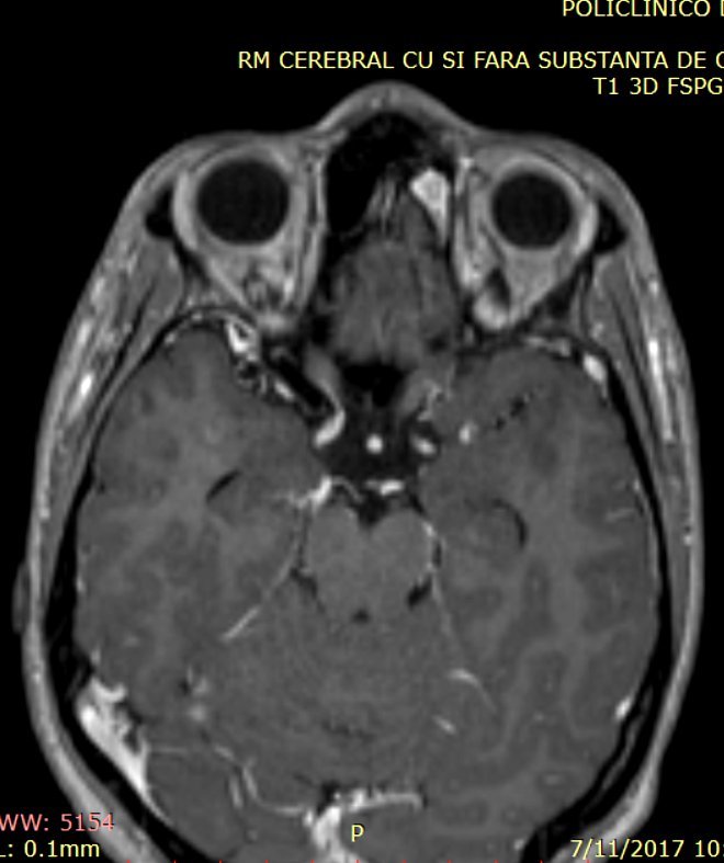
Examenul pentru reevaluare endocrinologică (Doamna Dr. Simona Jercălău – Brain Institute, Spitalul Monza) ridică suspiciunea unei secreţii ectopice paraneoplazice de ADH, contrazicând astfel diagnosticul de SIADH stabilit în urmă cu 5 ani. Coroborarea cu diagnosticul ORL, cu examenele imagistice şi cu literatura de specialitate (20 de cazuri descrise în lume până în anul 2014) stabilesc diagnosticul prezumptiv de estezioneuroblastom etmoidal stâng extins fronto-maxilar secretant de vasopresină (stadializare Kadish – grup b) şi se decide efectuarea intervenţiei chirurgicale endoscopice transnazale în scop diagnostic şi curativ (fig. 2).
Fig.2: Examen RMN craniocerebral cu substanță de contrrast efectuat preoperator
În cursul intervenţiei chirurgicale (14.06.2017), s-a rezecat formaţiunea tumorală etmoidală şi extensia din sinusul maxilar cu ajutorul opticilor cu angulaţie variabilă EndoCameleon (100-900). Se constată lipsa invaziei la nivelul lamei ciuruite şi a laminei papiracee stângi. Sângerarea intraoperatorie abundentă la nivelul originii formaţiunii tumorale (peretele lateral al canalului nazo-frontal stâng) şi limitele abordului endoscopic (această etapă a intervenţiei s-a efectuat exclusiv sub vizualizare de 700 şi 900), în lipsa acordului informat al pacientei pentru un abord pe cale externă au dus la întreruperea intervenţiei chirurgicale pentru reevaluarea cazului. Cauterizare monopolară cu radiofrecvenţă 10-25W, cauter-aspirator maleabil/angulat. Hemostaza eficientă, nu a fost necesar tamponament anterior.
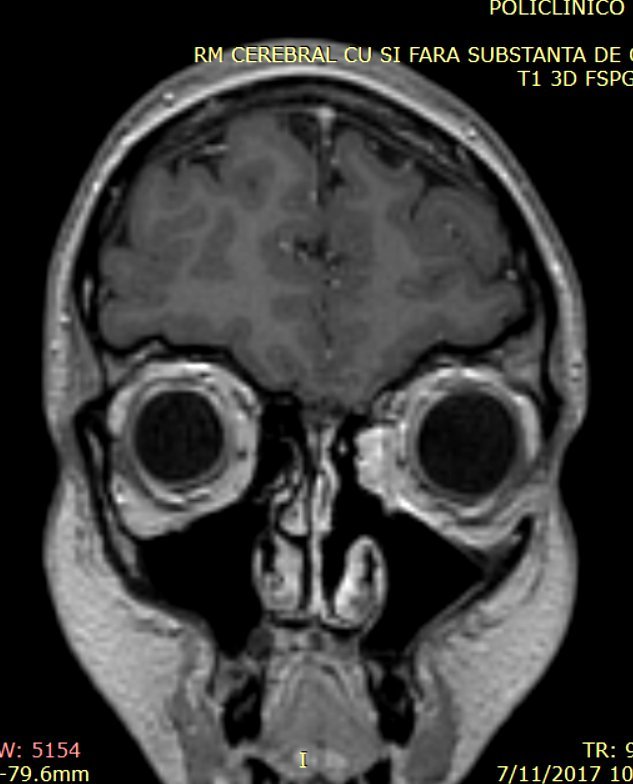
RMN cu substanţă de contrast efectuat postoperator confirmă existenţa unei restanțe tumorale cu un volum de aprox. 10% din volumul tumoral iniţial, situată în canalul nazofrontal stâng şi în sinusul frontal stâng (fig. 3).
Fig.3: RMN postoperator: restanta tumorala localizata in canalul nazofrontal stg
La câteva ore postoperator, s-a suprimat restricţia hidrică şi s-a scăzut aportul de sodiu per-os de la 3cp la 1 cp./zi, natremia la limita inferioară a normalului, însă nu a permis însă renunţarea completă la aportul suplimentar de sodiu.
Examenul Hp şi IHC postoperator stabilesc diagnosticul de estezioneuroblastom low-grade, secretant de ADH, Ki67 10%. Consultul oncologic stabileşte posibilitatea începerii unui tratament polichimioterapic combinat cu radioterapie conformaţională IMRT, ca alternativă la cura chirurgicală cu viza de radicalitate. În cele din urmă însă pacienta acceptă un abord pe cale externă şi se decide reintervenţia chirurgicală la 4 săptămâni faţă de prima operaţie.
Se practică un abord minim invaziv endoscopic pe cale combinată: transnazal şi pe cale externă printr-o incizie de 25mm în linia sprancenoasa stânga. În acest fel, am reuşit să practicăm o hemostază eficientă utilizând optici şi instrumentar la 00. Se realizează o breşă cu diametrul de 20mm în peretele anterior al sinusului frontal stâng şi se expune polul superior intrasinusal al tumorii prin vizualizare cu optică de 00 şi 300. Abordul polului inferior al restanței tumorale s-a efectuat utilizând optică angulată la 700 şi 900 şi instrumentar angulat.
Se ablează macroscopic complet formaţiunea tumorală, frezarea zonei de implantare tumorală (tavan etmoidal – perete lateral al canalului nazofrontal stâng) şi cauterizarea acesteia în scop oncologic şi hemostatic (radiofrecvenţă, monopolar, fulguraţie 7-10W) – fig 4.
Fig 4: a – control endoscopic transnazal la finalul interventiei; b – control endoscopic extern – canal nazofrontal
Refacerea conturului osos de la nivelul peretelui anterior al sinusului frontal stâng prin fixarea unei plăcuțe din titan biocompatibil şi sutură intradermică cu fir resorbabil Vicryl 5.0; SteriStrip. Hemostază intraoperatorie eficientă, nu necesită tamponament anterior.
CT cu substanţă de contrast efectuat la finalul intervenţiei confirmă rezectia completă a tumorii (fig. 5)
Fig.5: control CT craniocerebral postoperator final
Imediat postoperator se suprimă aportul extern suplimentar de sodiu. Timpul de înjumătăţire al vasopresinei fiind de numai 20 de minute, normalizarea natremiei s-a constatat rapid postoperator.
Ultimul consult oncologic, coroborat cu imagistică postoperatorie şi constantele biologice (natremia cu valori stabile între 140-145mmol/litru la un aport hidric normal), stabilesc oportunitatea temporizării radio şi chimioterapiei, orice recidivă tumorală putând fi suspectată prin scăderea sodiului seric pe care pacienta îl va controla lunar. În acest caz, sodiul seric poate fi considerat un adevărat „marker tumoral”.
Există cazuri selectate în care un abord combinat transnazal şi pe cale externă reprezintă cea mai bună atitudine terapeutică, păstrând totuşi o caracteristică minim invazivă a intervenţiei.









