Pacienta C.M., în vârstă de 42 de ani, se prezintă la spital pentru cura chirurgicală a unei formațiuni tumorale osteomatoase de sinus frontal drept extinsă la nivelul orbitei. Tabloul clinic include asimetrie orbitară cu exoftalmie inferolaterală oculară dreaptă și afirmativ fenomene de diplopie.
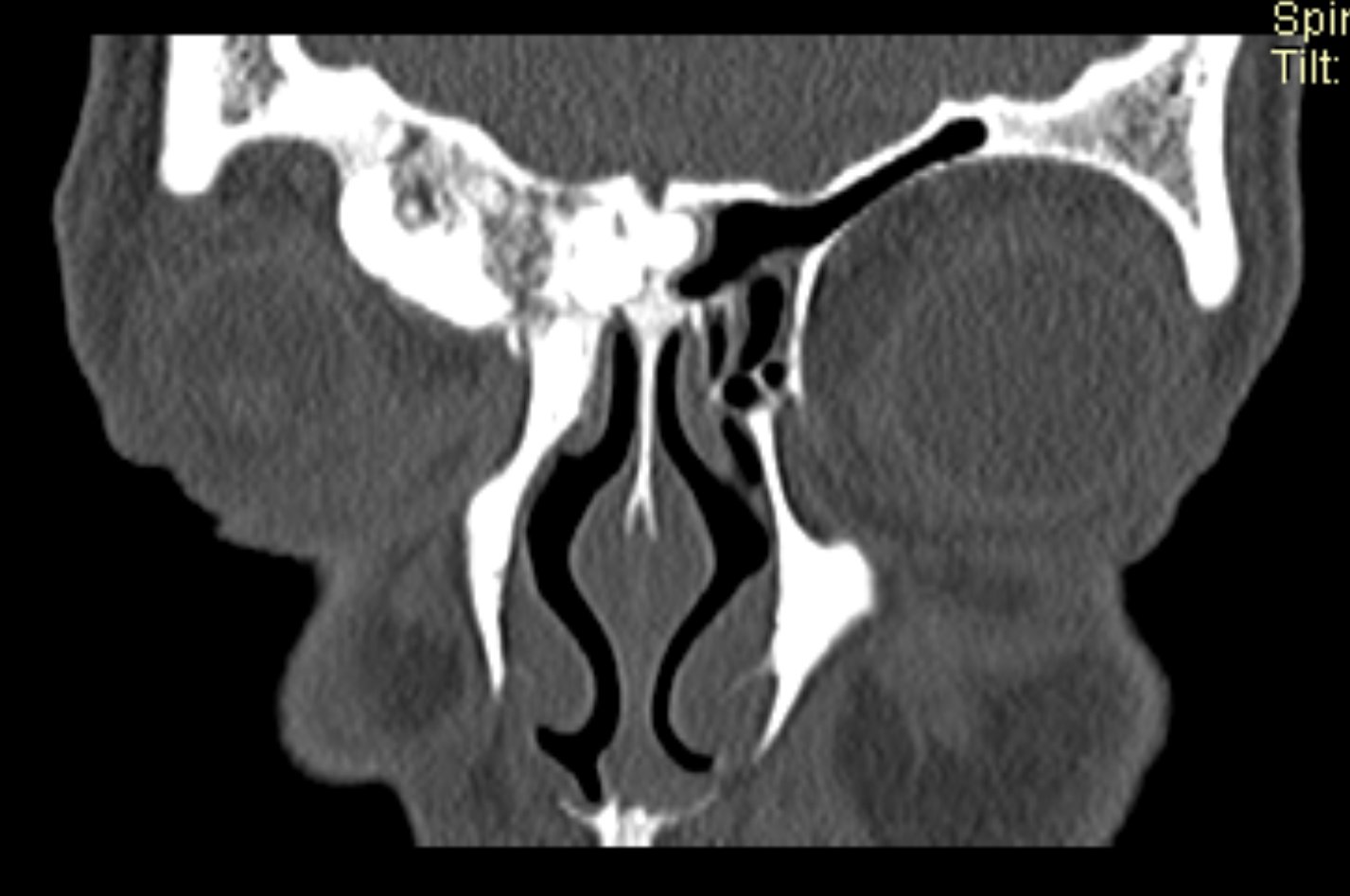
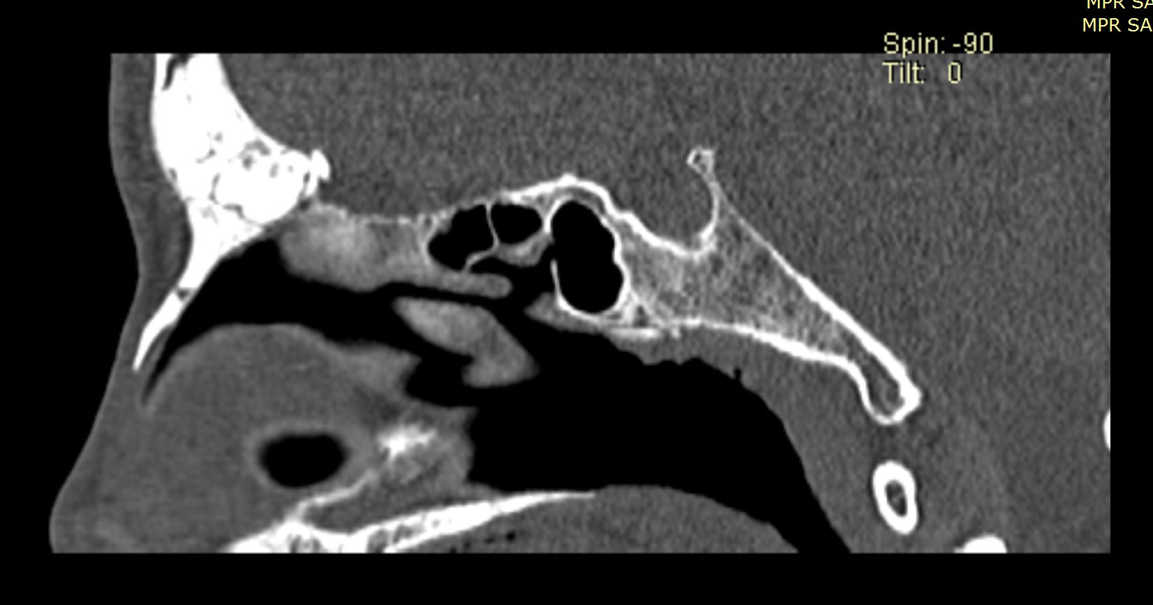
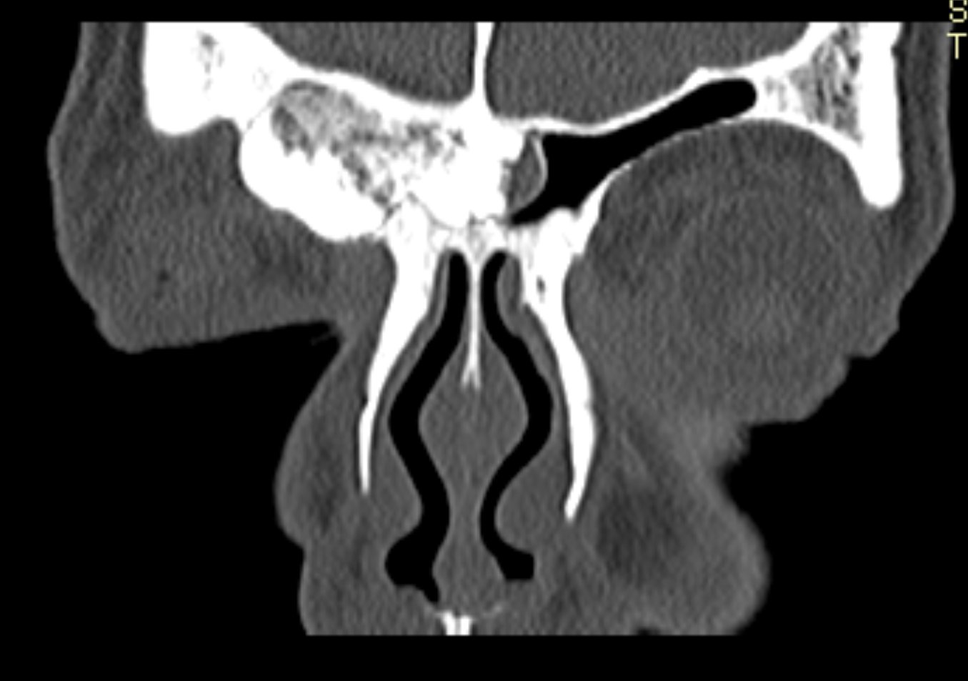
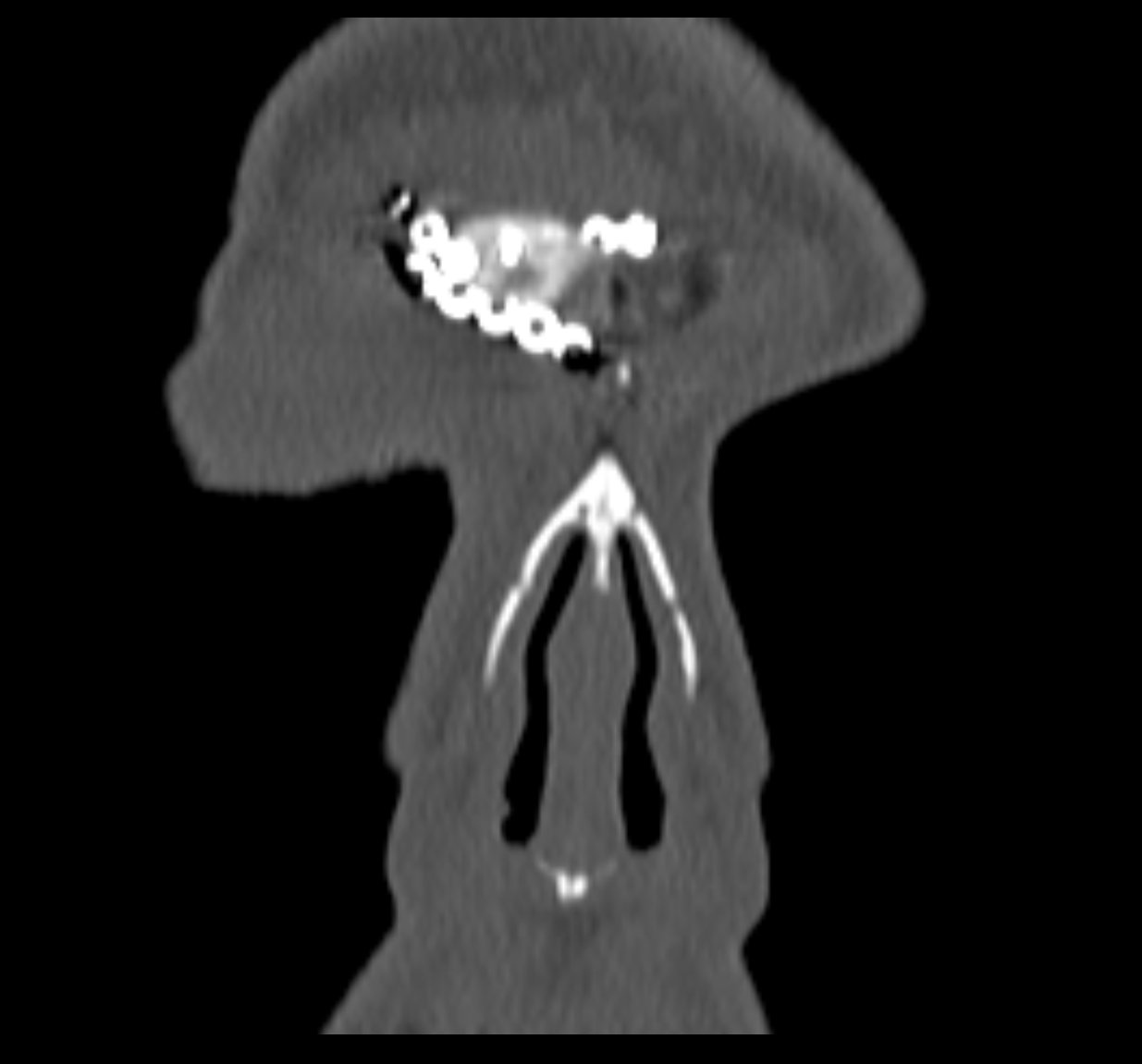
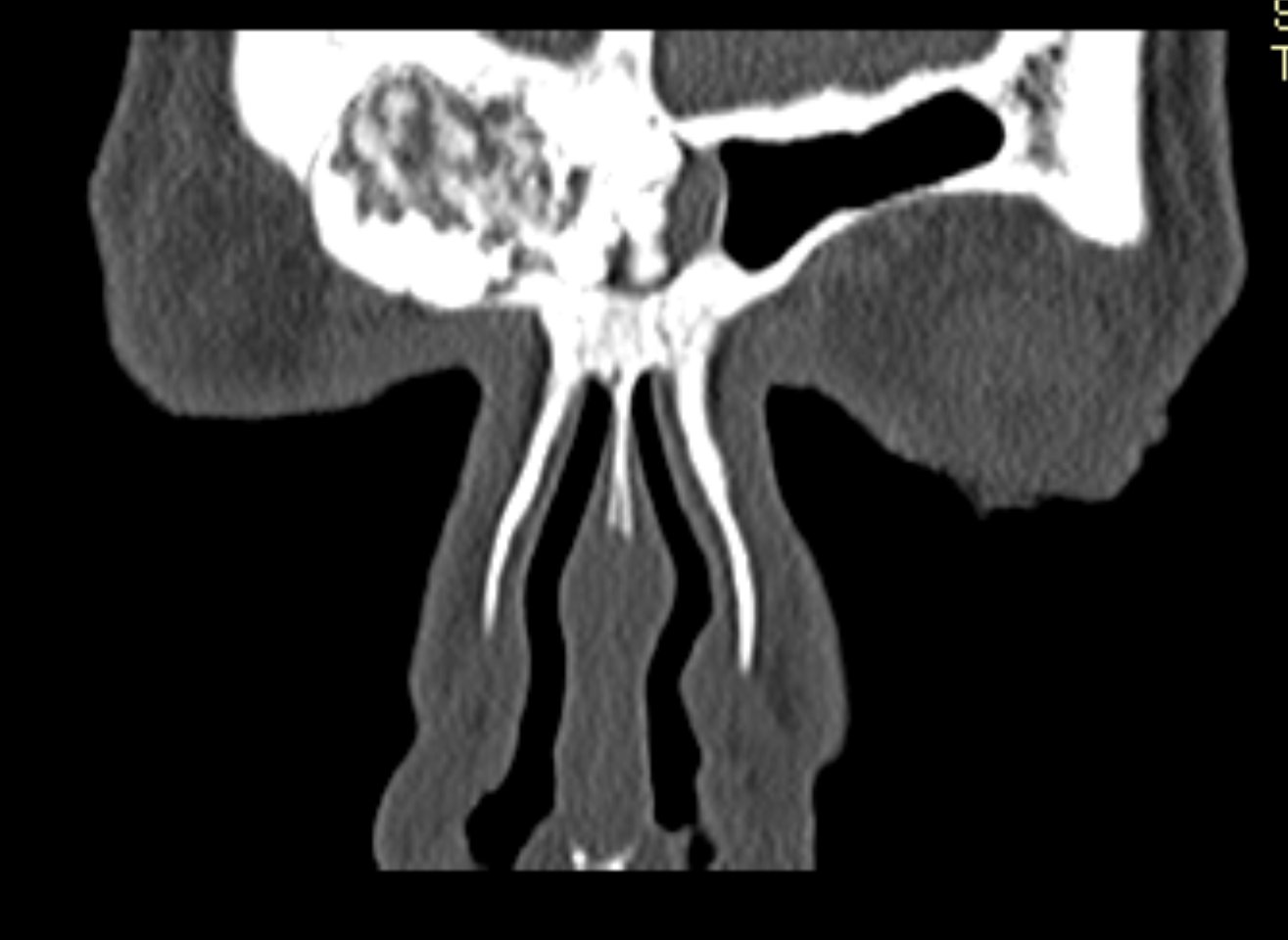
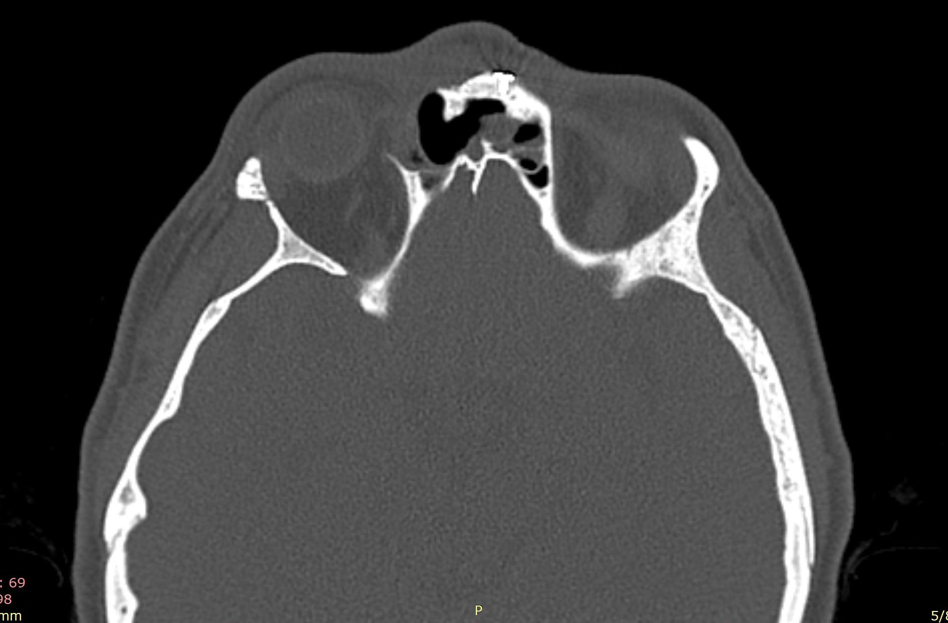
Examenul clinic ORL și examenele imagistice complementare (CT, RMN sinusuri paranazale) pun în evidență o formațiune tumorală osteogenică a sinusului frontal drept, protruzivă în unghiul supero-intern al orbitei, extinsă medial către sinusul frontal stâng.
- Sub protecția antibioticelor și al hemostaticelor, se intervine chirurgical și se practică abordul extern al sinusului frontal drept, printr-o incizie de aproximativ 4 cm la nivelul liniei sprâncenoase drepte, cu recoltarea unui grefon osos de la nivelul peretelui anterior al sinusului frontal, cu ajutorul frezei diamantate.
- Se expune formațiunea tumorală osteomatoasă care ocupă în totalitate cavitatea sinusală frontală dreaptă, se extinde către sinusul frontal controlateral și către orbita dreaptă, creând presiune pe atmosfera celulo-grasoasă periorbitară la nivelul unghiului supero-intern OD. Formațiunea este intens aderentă la nivelul peretelui sinusal postero-superior. Aceasta prezintă două zone de consistență diferită.
- Se realizează ablația macroscopică completă a formațiunii, cu trimiterea piesei către examenul histopatologic.
- Se realizează repermeabilizarea comunicării nazo-frontale prin abord endoscopic la nivelul fosei nazale drepte.
- Hemostază eficientă cu Gelaspon și Surgicell; nu este necesar tamponament nazal anterior.
- Refacerea planurilor prin aplicarea grefonului osos prelevat de la nivelul peretelui anterior sinus frontal drept fixat în 3 puncte prin punți și șuruburi Stryker din titan biocompatibile/compatibile RMN. Sutură în două planuri: profundă fasciomusculară și intradermică. Aplicare de bandă adezivă Steri-Strip la nivelul inciziei.
- Lavajul foselor nazale cu Cathejel.
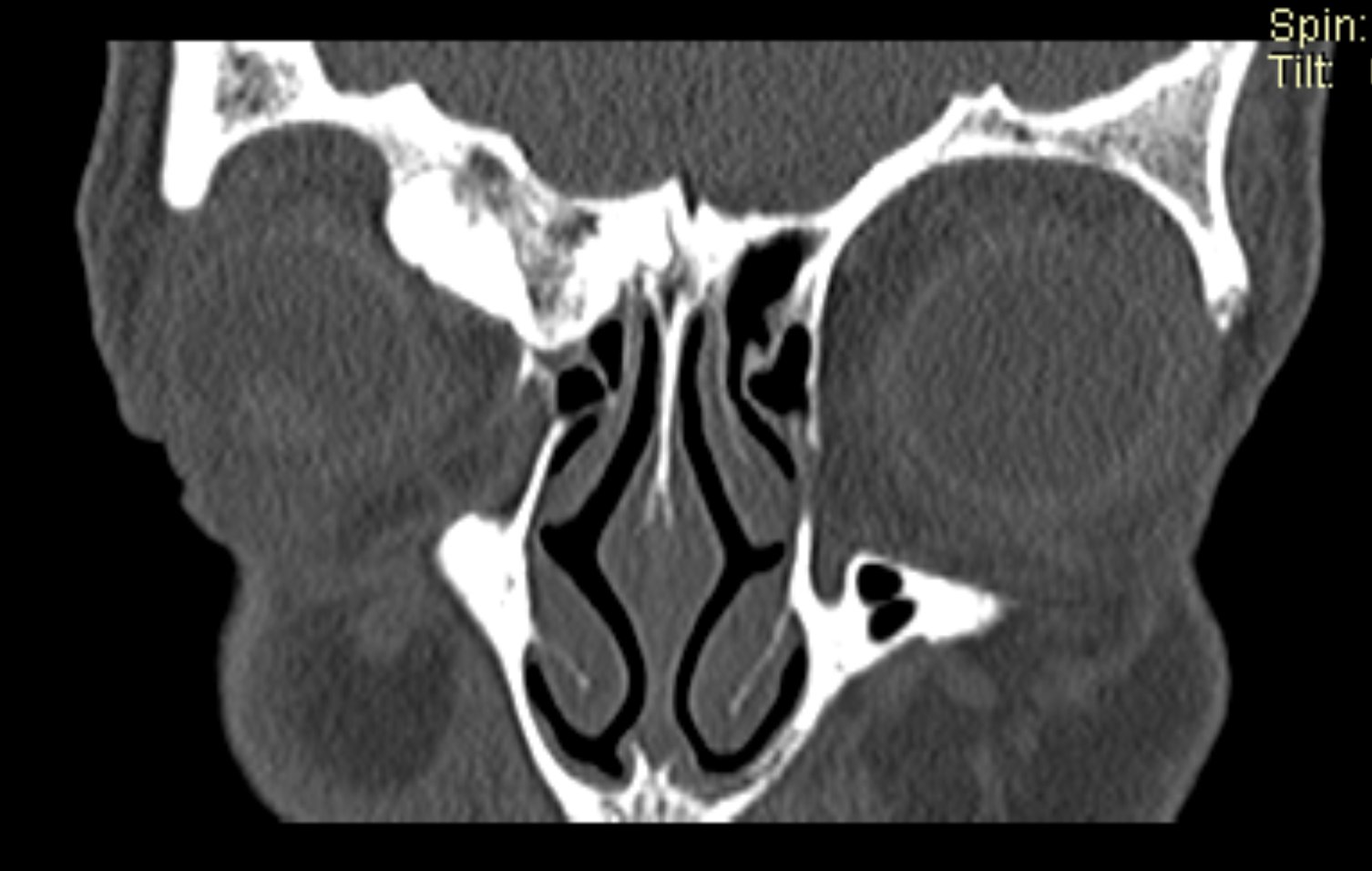
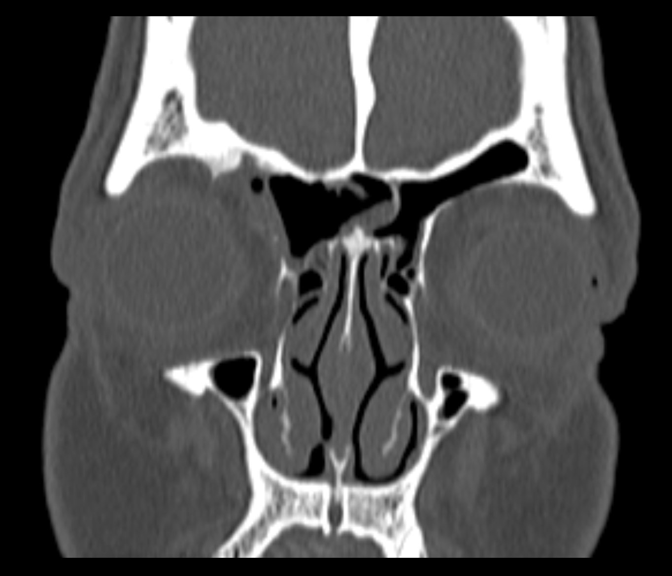
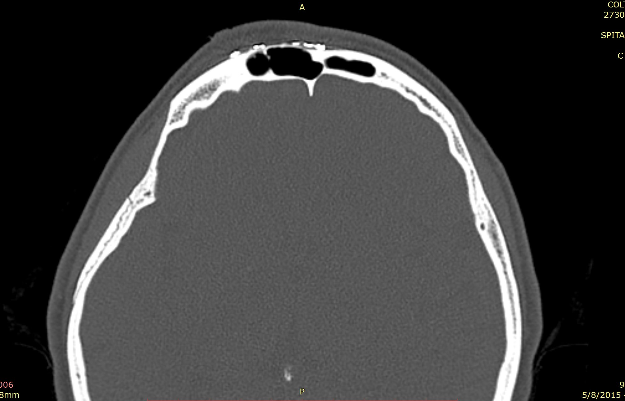
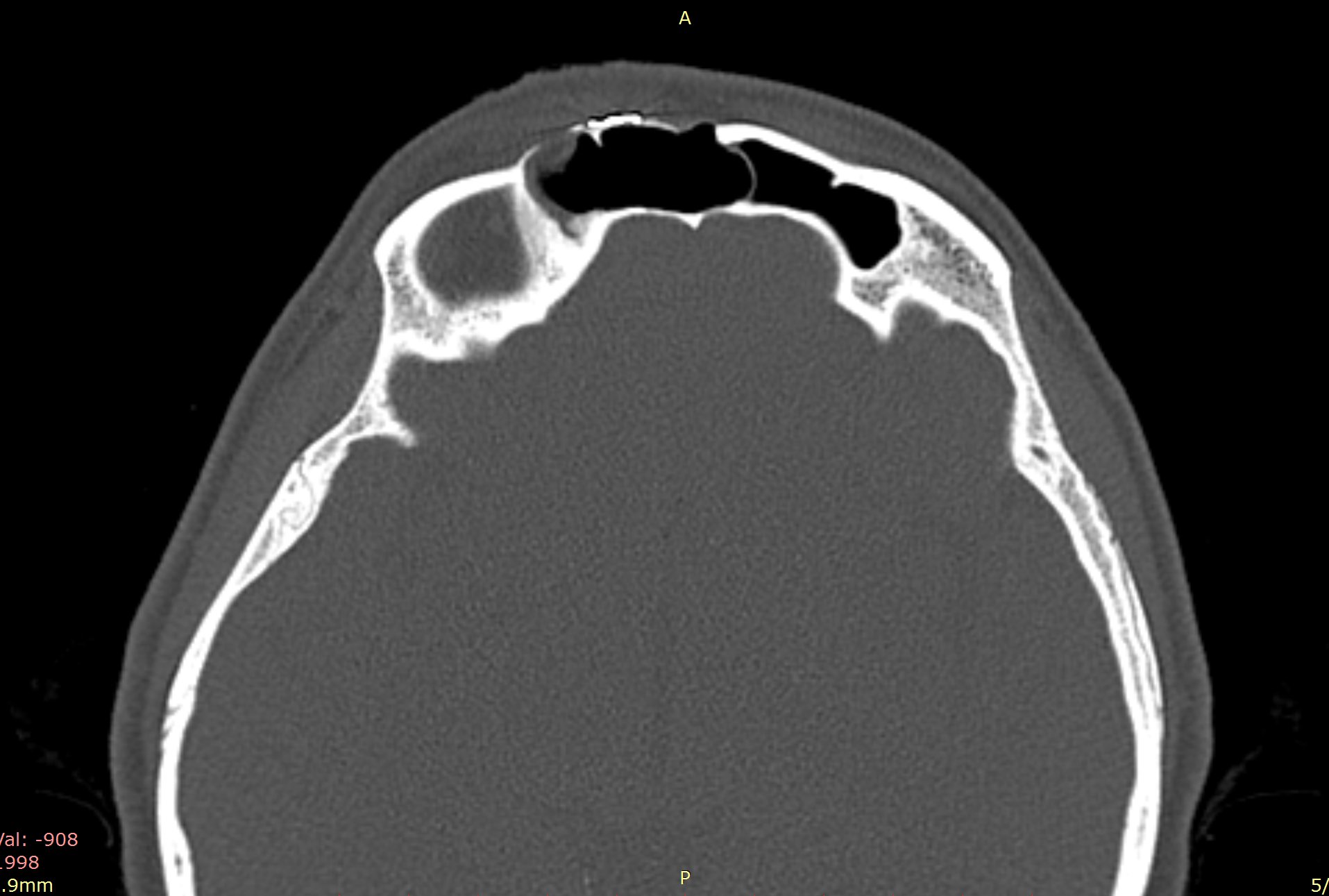
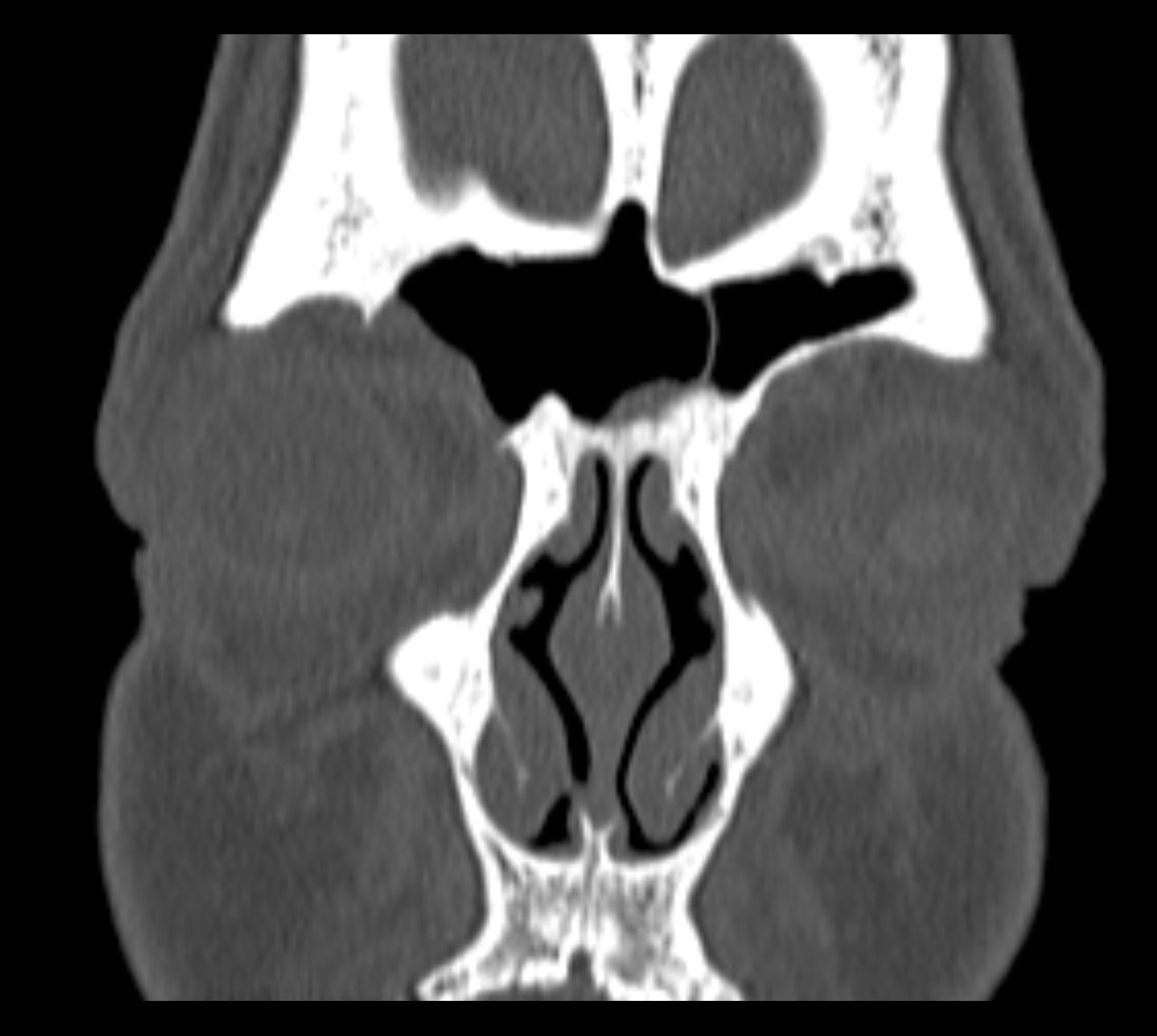
Ziua 1 postoperator, pacienta efectuează CT sinusuri paranazale de control care certifică ablația completă a formațiunii.
Pacienta se externează la 48 de ore postoperator.


















